Chirurgia stomatologiczna w Szczecinie to dziedzina medycyny, która zajmuje się diagnostyką oraz leczeniem schorzeń jamy ustnej, zębów i tkanek otaczających. Warto zaznaczyć, że chirurgia stomatologiczna obejmuje nie tylko ekstrakcje zębów, ale także bardziej skomplikowane procedury, takie jak usuwanie torbieli, leczenie urazów czy implantologia. W Szczecinie można znaleźć wiele gabinetów stomatologicznych oferujących szeroki wachlarz usług chirurgicznych, co pozwala pacjentom na wybór odpowiedniego specjalisty. W przypadku problemów z uzębieniem, które wymagają interwencji chirurgicznej, kluczowe jest skonsultowanie się z doświadczonym lekarzem. Specjalista przeprowadzi dokładną diagnostykę oraz zaproponuje najlepsze metody leczenia, dostosowane do indywidualnych potrzeb pacjenta.
Jakie są najczęstsze zabiegi w chirurgii stomatologicznej w Szczecinie
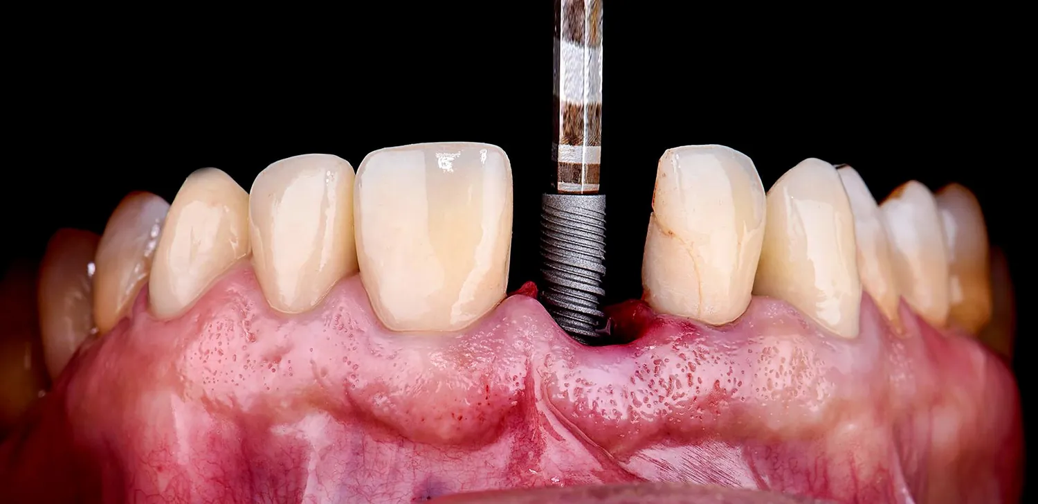
Wśród najczęstszych zabiegów wykonywanych w ramach chirurgii stomatologicznej w Szczecinie można wymienić ekstrakcję zębów mądrości, usuwanie torbieli oraz wszczepianie implantów dentystycznych. Ekstrakcja zębów mądrości to często konieczny zabieg, zwłaszcza gdy zęby te nie mają wystarczająco dużo miejsca w jamie ustnej lub są niewłaściwie ustawione. W takich przypadkach mogą powodować ból oraz inne problemy zdrowotne. Usuwanie torbieli to kolejny popularny zabieg, który ma na celu eliminację nieprawidłowych zmian w tkankach jamy ustnej. Torbiele mogą prowadzić do poważnych komplikacji, dlatego ich usunięcie jest kluczowe dla zachowania zdrowia pacjenta. Implanty dentystyczne stają się coraz bardziej popularne jako alternatywa dla brakujących zębów. Dzięki nowoczesnym technologiom możliwe jest wszczepienie implantu w sposób minimalnie inwazyjny, co znacząco skraca czas rekonwalescencji oraz zwiększa komfort pacjenta.
Jakie są zalety korzystania z usług chirurgii stomatologicznej w Szczecinie

Korzystanie z usług chirurgii stomatologicznej w Szczecinie niesie ze sobą wiele korzyści dla pacjentów. Przede wszystkim dostępność wykwalifikowanych specjalistów oraz nowoczesnych technologii sprawia, że leczenie staje się bardziej efektywne i bezpieczne. Wiele gabinetów oferuje kompleksową obsługę pacjenta, co oznacza, że można liczyć na pełne wsparcie na każdym etapie leczenia – od diagnostyki po rehabilitację. Ponadto, dzięki rosnącej konkurencji na rynku usług stomatologicznych w Szczecinie, pacjenci mogą liczyć na atrakcyjne ceny oraz różnorodne promocje. Kolejną zaletą jest możliwość skorzystania z różnych metod znieczulenia, co znacznie podnosi komfort podczas zabiegów chirurgicznych. Warto również zauważyć, że wiele gabinetów stomatologicznych w Szczecinie stosuje innowacyjne rozwiązania technologiczne, takie jak laseroterapia czy cyfrowe obrazowanie 3D, co pozwala na precyzyjniejsze planowanie zabiegów i szybszą regenerację tkanek po operacji.
Jak przygotować się do wizyty u chirurga stomatologicznego w Szczecinie
Przygotowanie do wizyty u chirurga stomatologicznego w Szczecinie jest kluczowe dla zapewnienia sobie komfortu oraz skuteczności leczenia. Przede wszystkim warto zebrać wszystkie istotne informacje dotyczące swojego stanu zdrowia oraz historii medycznej. Należy przygotować listę przyjmowanych leków oraz wszelkich alergii, które mogą mieć wpływ na przebieg zabiegu. Dobrze jest również zastanowić się nad pytaniami, które chcielibyśmy zadać specjaliście podczas wizyty – im więcej informacji uzyskamy, tym lepiej będziemy przygotowani na ewentualne decyzje dotyczące leczenia. Kolejnym krokiem jest umówienie się na wizytę konsultacyjną przed planowanym zabiegiem chirurgicznym. Podczas takiej wizyty lekarz przeprowadzi dokładną diagnostykę oraz omówi możliwe metody leczenia. Ważne jest także przestrzeganie zaleceń dotyczących higieny jamy ustnej przed zabiegiem oraz unikanie spożywania pokarmów i napojów tuż przed wizytą.
Jakie są najczęstsze problemy stomatologiczne wymagające chirurgii w Szczecinie
W Szczecinie, podobnie jak w innych miastach, istnieje wiele problemów stomatologicznych, które mogą wymagać interwencji chirurgicznej. Jednym z najczęstszych problemów są zęby mądrości, które często nie mają wystarczająco dużo miejsca w jamie ustnej, co prowadzi do ich niewłaściwego wyrastania. W takich przypadkach mogą one powodować ból, stany zapalne oraz przesunięcia innych zębów. Ekstrakcja zębów mądrości jest jednym z najczęściej wykonywanych zabiegów chirurgicznych w gabinetach stomatologicznych. Innym powszechnym problemem są torbiele lub guzy w obrębie jamy ustnej, które mogą być wynikiem infekcji lub innych schorzeń. Ich usunięcie jest kluczowe dla zachowania zdrowia i uniknięcia poważniejszych komplikacji. Kolejnym problemem są urazy zębów i tkanek miękkich, które mogą wystąpić na skutek wypadków czy kontuzji sportowych. W takich sytuacjach konieczne może być przeprowadzenie zabiegów rekonstrukcyjnych lub implantologicznych. Warto również wspomnieć o chorobach przyzębia, które mogą prowadzić do utraty zębów i wymagają interwencji chirurgicznej w celu ich leczenia.
Jakie nowoczesne technologie są stosowane w chirurgii stomatologicznej w Szczecinie
W ostatnich latach chirurgia stomatologiczna w Szczecinie korzysta z coraz bardziej zaawansowanych technologii, które znacząco poprawiają jakość leczenia oraz komfort pacjentów. Jedną z innowacyjnych metod jest wykorzystanie laserów do przeprowadzania zabiegów chirurgicznych. Lasery pozwalają na precyzyjne cięcie tkanek oraz minimalizują krwawienie, co skraca czas rekonwalescencji i zmniejsza ból pooperacyjny. Kolejną nowoczesną technologią jest cyfrowe obrazowanie 3D, które umożliwia dokładne planowanie zabiegów oraz wizualizację struktury jamy ustnej pacjenta. Dzięki temu lekarz może lepiej ocenić stan zdrowia pacjenta oraz zaplanować optymalne metody leczenia. Warto również wspomnieć o systemach komputerowych wspierających implantologię, które pozwalają na precyzyjne umiejscowienie implantów dentystycznych oraz minimalizują ryzyko powikłań. Dodatkowo, wiele gabinetów oferuje znieczulenie komputerowe, które zwiększa komfort pacjenta podczas zabiegów chirurgicznych.
Jakie są koszty zabiegów chirurgii stomatologicznej w Szczecinie
Koszty zabiegów chirurgii stomatologicznej w Szczecinie mogą się znacznie różnić w zależności od rodzaju przeprowadzanego zabiegu oraz doświadczenia specjalisty. Ekstrakcja zęba mądrości to jeden z mniej kosztownych zabiegów, którego cena zazwyczaj oscyluje wokół kilkuset złotych. Z kolei bardziej skomplikowane procedury, takie jak wszczepienie implantu dentystycznego, mogą wiązać się z wyższymi wydatkami, często przekraczającymi kilka tysięcy złotych. Warto również pamiętać, że niektóre gabinety oferują różnorodne promocje oraz pakiety usług, co może wpłynąć na obniżenie kosztów leczenia. Dodatkowo warto zwrócić uwagę na możliwość rozłożenia płatności na raty lub korzystania z programów lojalnościowych oferowanych przez niektóre placówki stomatologiczne. Koszty zabiegów mogą być także częściowo pokrywane przez ubezpieczenie zdrowotne, dlatego warto sprawdzić warunki swojej polisy przed wizytą u chirurga stomatologicznego.
Jak wygląda proces rehabilitacji po zabiegach chirurgii stomatologicznej
Rehabilitacja po zabiegach chirurgii stomatologicznej jest kluczowym elementem procesu leczenia i ma na celu przywrócenie pełnej funkcjonalności jamy ustnej oraz zapewnienie komfortu pacjentowi. Po każdym zabiegu lekarz powinien szczegółowo omówić zalecenia dotyczące postępowania pooperacyjnego. W przypadku ekstrakcji zębów mądrości czy wszczepienia implantów ważne jest przestrzeganie zasad higieny jamy ustnej oraz unikanie intensywnego wysiłku fizycznego przez kilka dni po operacji. Pacjenci powinni również stosować się do zaleceń dotyczących diety – zaleca się spożywanie miękkich pokarmów oraz unikanie gorących napojów przez pierwsze dni po zabiegu. Warto również pamiętać o regularnym przyjmowaniu leków przeciwbólowych oraz przeciwzapalnych przepisanych przez lekarza. Kontrole pooperacyjne są niezwykle istotne dla monitorowania procesu gojenia się ran oraz ewentualnego wykrywania powikłań. W przypadku jakichkolwiek niepokojących objawów, takich jak silny ból czy obrzęk, należy niezwłocznie skontaktować się ze specjalistą.
Jak znaleźć najlepszego chirurga stomatologicznego w Szczecinie
Wybór odpowiedniego chirurga stomatologicznego w Szczecinie może być kluczowy dla sukcesu leczenia i komfortu pacjenta. Istotnym krokiem jest zebranie informacji na temat dostępnych specjalistów oraz ich doświadczenia w zakresie konkretnych zabiegów chirurgicznych. Warto zwrócić uwagę na opinie innych pacjentów, które można znaleźć na stronach internetowych gabinetów stomatologicznych lub portalach społecznościowych. Rekomendacje znajomych czy rodziny również mogą okazać się pomocne przy wyborze specjalisty. Kolejnym istotnym czynnikiem jest sprawdzenie kwalifikacji lekarza – warto upewnić się, że posiada on odpowiednie certyfikaty oraz doświadczenie w przeprowadzaniu konkretnych procedur chirurgicznych. Dobrym pomysłem jest umówić się na konsultację przedzabiegową, podczas której można ocenić podejście lekarza do pacjenta oraz jego kompetencje komunikacyjne. Ważne jest również zapoznanie się z wyposażeniem gabinetu i stosowanymi technologiami – nowoczesny sprzęt może znacząco wpłynąć na jakość leczenia i bezpieczeństwo pacjenta.
Czy warto inwestować w usługi chirurgii stomatologicznej w Szczecinie
Inwestycja w usługi chirurgii stomatologicznej w Szczecinie może przynieść wiele korzyści zarówno zdrowotnych, jak i estetycznych dla pacjentów. Problemy związane z uzębieniem mogą prowadzić do poważnych konsekwencji zdrowotnych, dlatego warto rozważyć podjęcie działań mających na celu ich rozwiązanie. Zabiegi takie jak ekstrakcje czy wszczepianie implantów dentystycznych mogą znacząco poprawić jakość życia pacjentów poprzez eliminację bólu oraz przywrócenie pełnej funkcjonalności jamy ustnej. Dodatkowo estetyka uśmiechu ma ogromne znaczenie dla pewności siebie i samopoczucia psychicznego jednostki – piękne uzębienie wpływa na sposób postrzegania siebie oraz relacje interpersonalne. Nowoczesne metody leczenia stosowane w szczecińskich gabinetach stomatologicznych zapewniają wysoką jakość usług przy jednoczesnym minimalizowaniu dyskomfortu podczas zabiegów.





